El Hospital Regional de Málaga extirpa un tumor cerebral a un joven tras trasvasarle el área del lenguaje al otro hemisferio

El adolescente, de 17 años, mantiene el habla y ya no padece crisis epilépticas

La operación es la primera de Andalucía y puede revolucionar la cirugía de la epilepsia

Ibáñez, Serrano, Fernández y Muñoz (de izquierda a derecha) en la rueda de prensa.
Ibáñez, Serrano, Fernández y Muñoz (de izquierda a derecha) en la rueda de prensa. / M. H.

El Hospital Regional de Málaga ha hecho una intervención revolucionaria: ha extirpado un tumor cerebral a un joven de 17 años tras trasvasarle previamente el área del lenguaje del hemisferio izquierdo, donde tenía la formación tumoral, a la parte derecha. Salvaguardada la función lingüística, luego ha sido operado para quitarle el tumor que, aunque era benigno, le crecía y desde los seis años le provocada crisis epilépticas muy frecuentes que no remitían con fármacos. La intervención se hizo en julio pasado. Desde entonces, el joven mantiene el lenguaje y ya no sufre convulsiones.

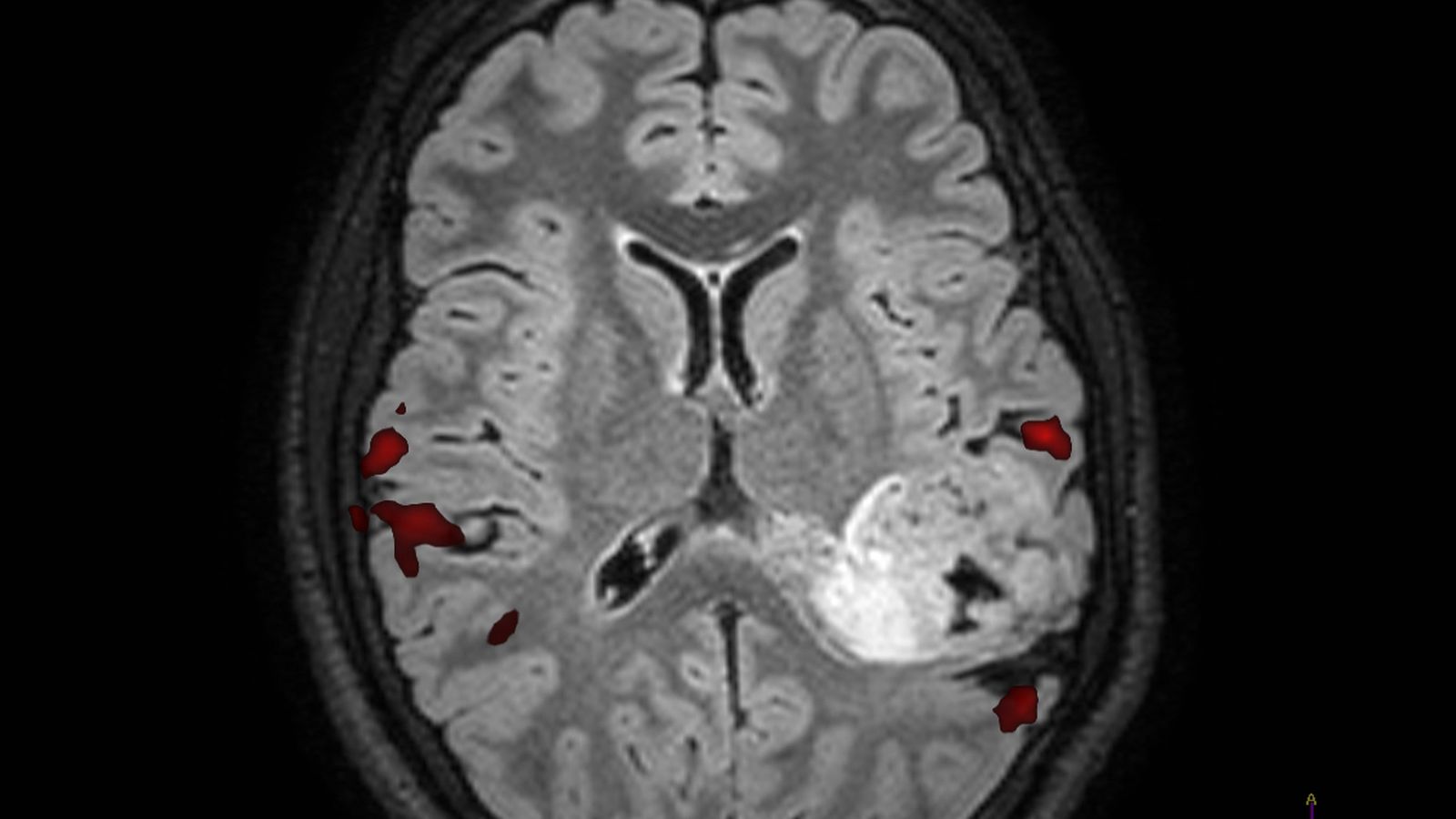
En las zonas rojas se aprecia las áreas del lenguaje. En la blanca, el tumor.
En las zonas rojas se aprecia las áreas del lenguaje. En la blanca, el tumor. / M. H.

"Para él la epilepsia era muy invalidante porque le impedía relacionarse con los amigos y tener una vida normal", ha explicado el neuropsicólogo del hospital Luis Muñoz. Tras la operación, su vida ha mejorado radicalmente. "El paciente tiene el lenguaje íntegro, se ha integrado en su instituto y hace una vida normal", resumió el jefe del Servicio de Neurología del hospital, Pedro Serrano.

El tratamiento es pionero en Andalucía y uno de los primeros que se realiza en España. Ha sido fruto de un trabajo en equipo de neurofisiólogos, neuropsicólogos, neurocirujanos, anestesistas y enfermeros. Cuando era niño, el paciente fue operado en el Materno. Pero entonces, por su edad, la operación se tuvo que hacer con el pequeño dormido y no se pudo extirpar todo el tumor por el riesgo de dejarlo sin habla. Esta vez se hizo con el paciente despierto. "Y demostró una entereza absoluta", describió el jefe de Neurocirugía de adultos del hospital, Guillermo Ibáñez.

El proceso fue complejo. Con resonancia magnética, los especialistas comprobaron que allí seguía el tumor y que parte del lenguaje, de forma natural, ya se había empezado a desplazar al hemisferio sano. Una característica que se debe a la neuroplasticidad cerebral. “Pero teníamos que hacerlo de forma más rápida”, ha explicado la coordinadora de Neurofisiología, Victoria Fernández. Así que le colocaron una manta de electrodos en la cabeza y fueron bloqueando las partes del hemisferio donde estaba el tumor para acelerar el trasvase de la función lingüística al otro sano. “Es como si a Nadal, que es zurdo, le atamos la mano izquierda para que juegue con la derecha”, ha ejemplificado Muñoz.

Imagen del cerebro tras el trasvase del lenguaje.
Imagen del cerebro tras el trasvase del lenguaje. / M. H.

Tenían que hacerlo contrarreloj, porque los electrodos suponían riesgo de infecciones. Por la mañana, durante siete días seguidos, a razón de tres horas diarias, neurofisiólogos y neuropsicólogos trabajaron en lo que se llama prehabilitación del lenguaje. Por la tarde, la madre reforzaba esa estimulación.

Los profesionales temían que en el proceso de inhibición de la zona afectada, el joven perdiera el habla. Y plantearon el tratamiento como un juego para que el adolescente no viviera las dificultades para comunicarse como una frustración. Según ha detallado la neurofisióloga, la prehabilitación es posible porque aunque puede haber torpeza en la velocidad o en las habilidades de la zona que se estimula, no hay una lesión. Como si un diestro intenta utilizar la mano izquierda. Así que trabajaron intensamente durante una semana bloqueando la parte afectada por el tumor y estimulando el hemisferio sano. Y fueron avanzando: desde el lenguaje espontáneo hasta la lectura y el cálculo.

Una vez que estuvieron razonablemente seguros de que las funciones del lenguaje estaban a salvo, entraron en acción los neurocirujanos y los anestesistas. Llegó la hora de la operación. Se hizo con el joven despierto para tratar de quitar todo el tumor y al mismo tiempo preservar al máximo las áreas del lenguaje cercanas. Para ello, se valieron de un mapeo previo que además les serviría si el paciente no resistía las condiciones de la intervención y tenían que dormirlo.

Ibáñez ha precisado que “fue un reto” porque era el enfermo más joven que han operado despierto. “Fue una cirugía mixta, oncológica y de epilepsia”, ha explicado el neurocirujano. Y fue un éxito. Porque consiguieron quitar el tumor, preservar el lenguaje y acabar con las crisis epilépticas.

El joven aún toma fármacos para esta enfermedad, pero por protocolo; un tratamiento que se le irá reduciendo a lo largo de los años. Gracias al trabajo de un equipo multidisciplinar del Hospital Regional, este paciente que desde su niñez sufría crisis epilépticas, es desde julio pasado un adolescente de 17 años como todos los demás...

Un hito que puede abrir una puerta al avance en la cirugía de la epilepsia

El caso operado en el Hospital Regional en el que se ha logrado extirpar el tumor, mantener el lenguaje y acabar con las crisis epilépticas es mucho más que un proceso exitoso que beneficia a un joven: abre las puertas a avanzar en la cirugía de la epilepsia.

Hay pacientes en los que esta enfermedad es resistente a fármacos y la solución puede encontrarse en una intervención quirúrgica. Pero si coinciden funciones importantes con la zona cerebral afectada, los especialistas son reacios a intervenir porque puede deteriorar áreas como la del lenguaje.

Por ello este hito asistencial además de ser “novedoso”, puede abrir camino para “rescatar a pacientes de cirugía de epilepsia en los que no se hace por miedo a secuelas”, ha indicado el jefe de Neurología del Hospital Regional, Pedro Serrano.

La neuroplasticidad o plasticidad neuronal es la capacidad intrínseca del cerebro de modificar sus estructuras y conexiones en función de estímulos externos. Se trata de una función exclusiva del cerebro que no existe en ningún otro órgano y que permite hacer frente a determinados daños cerebrales.

stats