El Hospital Vithas Xanit Internacional incorpora una terapia pionera contra los tumores de hígado
La radioembolización es una técnica que, a través de microesferas radiactivas, inciden en el cáncer y mejoran la supervivencia y calidad de vida en los pacientes
La mortalidad por cáncer ha caído a la mitad en las últimas cuatro décadas
El Hospital Vithas Internacional ha incorporado una terapia pionera en la sanidad privada andaluza para el tratamiento de tumores de hígado. El doctor Arturo del Toro, especialista en radiología intervencionista del Hospital Vithas Xanit Internacional, señala que esta técnica, denominada radioembolización, “es un tratamiento multidisciplinar que implica a medicina nuclear y radiología intervencionista, además de los servicios de digestivo, cirugía digestiva y radiofísica”.
“Esta terapia mejora la supervivencia y la calidad de vida de los pacientes con cáncer hepático”, apunta el especialista, quien precisa que el centro de Benalmádena cuenta con este tratamiento desde el pasado mes de enero.
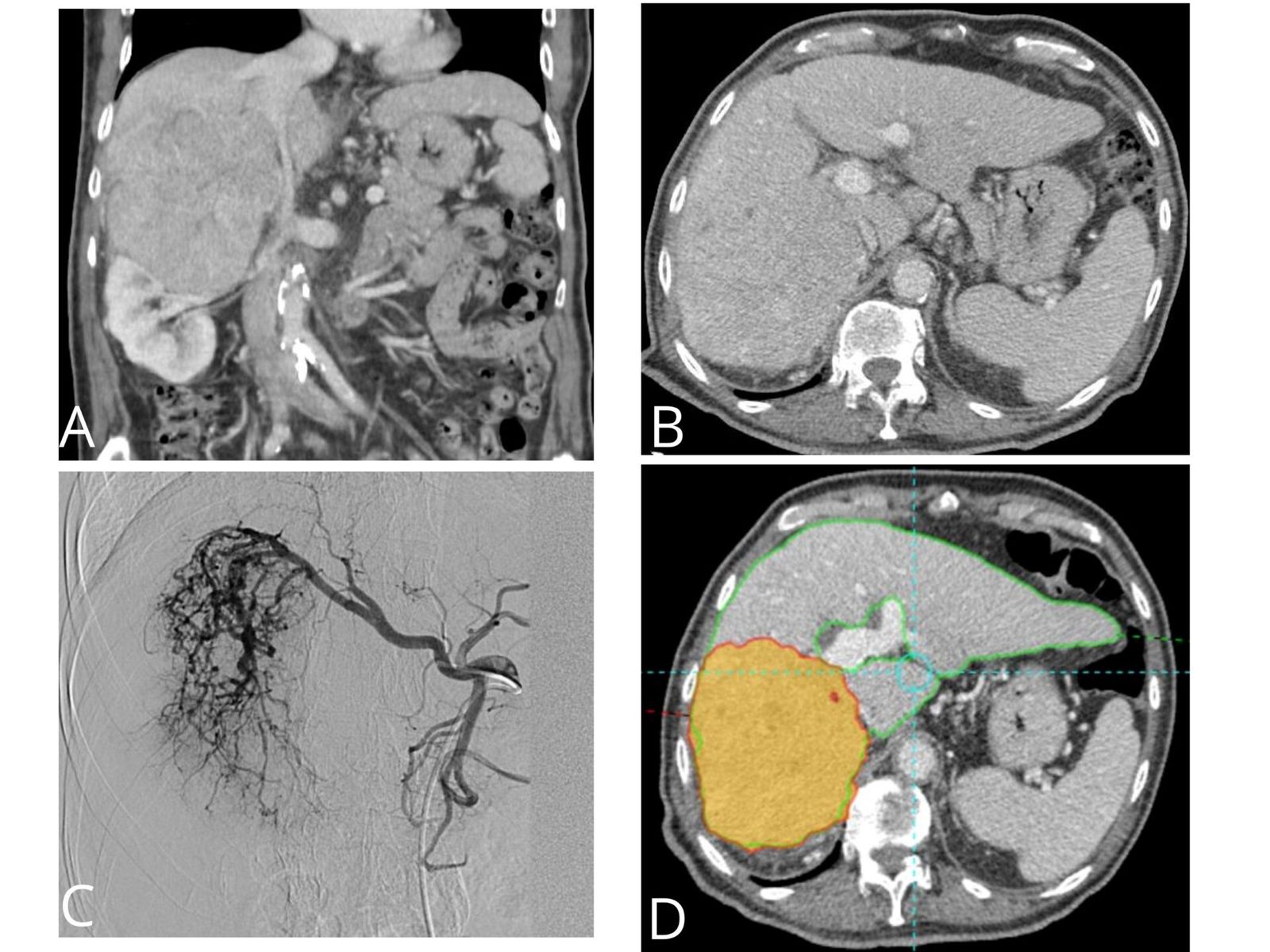
“La radioembolización es una terapia dirigida que consiste en que millones de microesferas de cristal radioactivas con itrio-90 producen una ablación intravascular en el lecho de la lesión”, matiza el doctor, quien indica que “estas microesferas del grosor de un cabello humano se dirigen directamente al tumor hepático a través de la arteria hepática, donde se introducen por medio de un catéter”.
“Las microesferas fluyen directamente hacia el tumor a través de los vasos sanguíneos del propio cáncer y se alojan permanentemente en el mismo y debido a que el procedimiento incide directamente en el tumor, la radiación destruye las células del cáncer con un impacto mínimo sobre el tejido hepático normal adyacente”, afirma.
Además, el especialista añade que “las microesferas seguirán emitiendo radiación durante varias semanas y es una terapia que también se puede utilizar para la reducción del estadío tumoral con el fin de que estos pacientes puedan someterse a una cirugía o trasplante”.
Sobre Vithas
El grupo Vithas está integrado por 20 hospitales y 37 centros médicos y asistenciales distribuidos por 14 provincias. Los 12.600 profesionales que conforman Vithas lo han convertido en uno de los líderes de la sanidad española. Además, el grupo integra a la Fundación Vithas, Vithas Red Diagnóstica y la central de compras PlazaSalud.
Vithas, respaldada por el grupo Goodgrower, fundamenta su estrategia corporativa en la calidad asistencial acreditada, la experiencia paciente, la investigación y la innovación y el compromiso social y medioambiental.
También te puede interesar
Lo último
El parqué
Sesión de máximos
Tribuna Económica
Desdolarización global: el inicio del declive del imperio
Yo te digo mi verdad
Manuel Muñoz Fossati
Vuelve el cristianismo
En tránsito
Eduardo Jordá
Mon petit amour
Contenido ofrecido por Caja Rural Granada